澤田歯科医師の矯正症例
Case1 インビザライン非抜歯
-
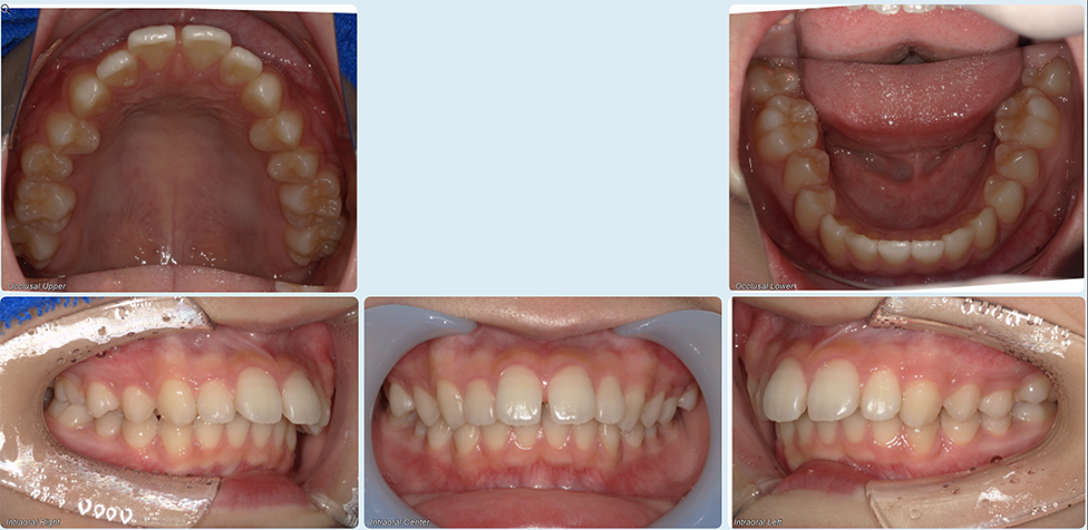
Before

-
After

Case2 インビザライン抜歯
-
Before

-
After

Case3 ワイヤー抜歯
-
Before

-
After

Case4 ワイヤー抜歯
-
Before

-
After

Case5 インビザライン+ワイヤー抜歯
-
Before

-
After

Case6 ワイヤー非抜歯
-
Before

-
After
